古賀歯科医院

10月の矯正診療日 21日(火曜日)27日(月曜日)


こんにちは古賀歯科医院です。

10月の矯正診療日は、21日と27日になります。

21日は午前中に予約に空きがあり、27日は午後に空きがあります。

矯正に興味がある方は是非お問合せ下さい。

矯正診療は完全予約制になります。

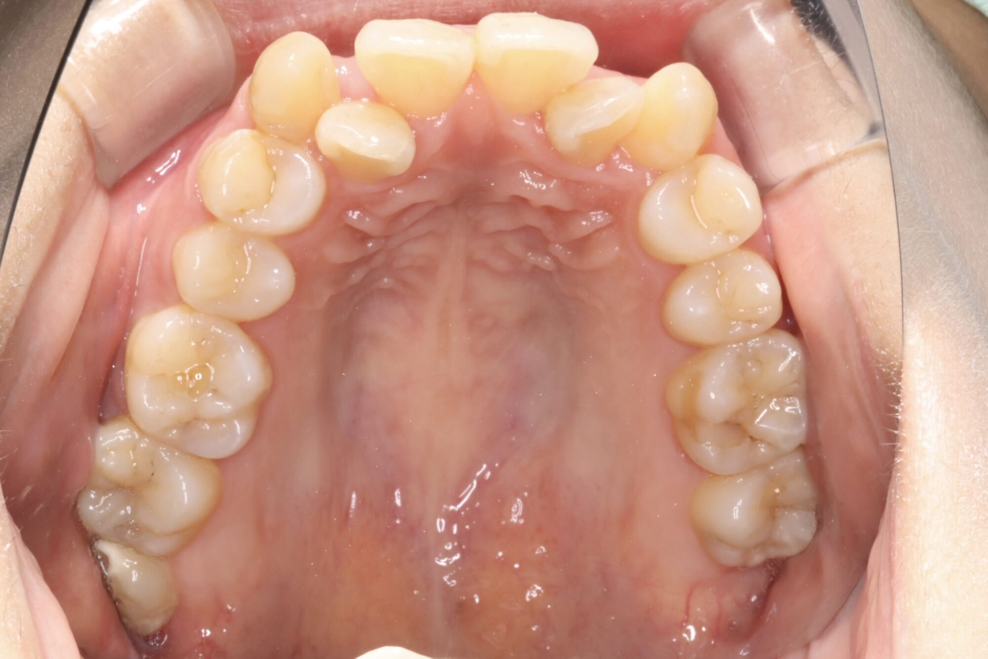
写真は矯正治療を始める前です。

古賀歯科医院